新闻中心
岳阳市人民医院成功开展首例纤维环修复技术
日期:2022-06-23 阅读:
2022年6月17日,岳阳市人民医院钟炯彪主任成功为一名36岁女性腰椎间盘突出患者实施大通道全脊柱内镜下髓核摘除联合纤维环缝合手术,术后患者疗效满意。随着该项技术在院内首次临床上的成功应用,标志着岳阳市人民医院成为岳阳地区开展纤维环修复技术的医院,为岳阳地区脊柱外科发展起到推动作用,同时也为当地广大腰椎间盘突出患者提供了一套更完善的手术治疗方案新选择。
病例分享
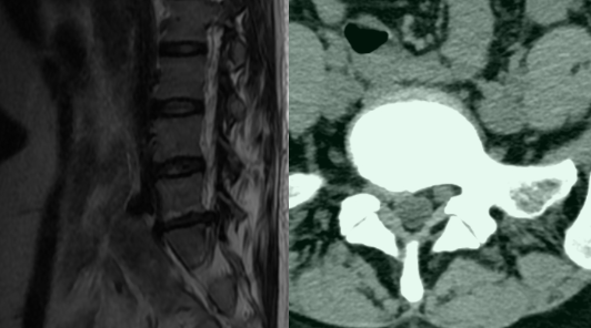
患者术前影像资料,腰五骶一腰椎间盘突出。
钟炯彪主任为患者实施大通道全脊柱内镜下髓核摘除联合纤维环缝合手术中
有限髓核摘除,椎间盘减压。
纤维环缝合过程,即纤维环缝合前后对照效果。

新闻推荐
联系我们
010-50928660
总部:北京市北京经济技术开发区科创十四街11号院1号楼2层
邮箱:shangwu_2020@126.com
代理商合作咨询:18649518300(苏先生)
扫描二维码
扫描二维码
扫描二维码
扫描二维码
Copyright © 二零二零(北京)医疗科技有限公司 版权所有 某ICP备00000000-0号